Posted on April 20, 2012April 20, 2012 by quinnjalanAlien What am I? Share this: Share on Facebook (Opens in new window) Facebook Share on X (Opens in new window) X Email a link to a friend (Opens in new window) Email Print (Opens in new window) Print Like Loading... Related
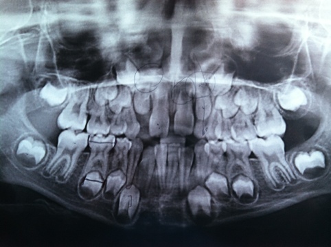
You are several extractions waiting to happen, followed by many tens of thousands of dollars worth of braces. Reply
You are several extractions waiting to happen, followed by many tens of thousands of dollars worth of braces.
Yup, right you are. I’ll be in poor house soon enough!